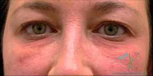
Before & After Gallery

Under Eye Restoration